Modulating cerebrospinal fluid dynamics using pulsed photobiomodulation: feasibility, parameter and skin-colour dependence
A. Motsenyat, X. Zhong, H. Van Lankveld, J. X. Chen, Alicia Mathew, J. J. Chen
bioRxiv

Abstract
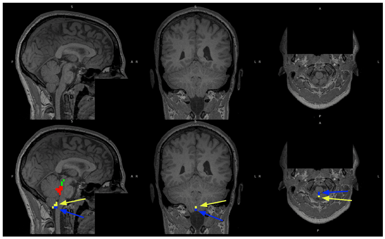
The use of photobiomodulation (PBM) to enhance brain health, specifically glymphatic drainage and thus neurotoxic waste clearance, may make it a promising therapeutic tool against neurodegenerative diseases such as Alzheimer's disease. This study investigates whether PBM can modulate cerebrospinal fluid (CSF) flow in 45 healthy young adults. We conducted forehead transcranial PBM (tPBM) and intranasal PBM (iPBM) at the nostril level, and measured CSF dynamics using blood-oxygenation level-dependent (BOLD) functional MRI (fMRI). Our data demonstrates 4 min of PBM-induced increases in CSF flow. Our data shows that (1) even a short PBM of 4 min can induce a change in CSF dynamics, in the form of an immediate increase in intracranial CSF volume and a reduction in CSF inflow; (2) skin melanin had a significant effect on the CSF response in tPBM, with lighter skin associated with higher responses; (3) both iPBM and tPBM displayed a dose-dependent effect on CSF dynamics in terms of a irradiance-wavelength interaction; (4) intranasal PBM (iPBM) can be used to produce a significant change in CSF dynamics that is equivalent to forehead transcranial PBM (tPBM) with a small fraction of the irradiance. The most likely explanation for the observed fMRI signal changes in CSF regions of interest for both tPBM and iPBM is an increased CSF outflow pressure due to PBM-induced vasodilation that transiently increases intracranial CSF volume and reduces net CSF inflow. This study establishes that PBM can modulate CSF flow in the healthy human brain in real time. This study also suggests that iPBM may be more efficient in CSF modulation due to the proximity to the olfactory system and the lack of melanin dependence. The influence of melanin on tPBM, the feasibility of iPBM and the dose dependence of both will require further investigation in healthy and patient populations.